How Gum Disease Affects Your Overall Health

Gum disease doesn’t just damage your smile — it affects your entire body. From heart health to blood sugar levels, untreated gum infection spreads silently. Professional teeth gum treatment at Lowell Dental helps protect both oral and systemic health.
How Long Does Invisalign Take? Realistic Timeline & What to Expect

Wondering how long Invisalign takes? At Dental Quest Lowell, most treatments last 12–18 months. Learn what affects your timeline and how our expert team guides you to a straighter, confident smile.
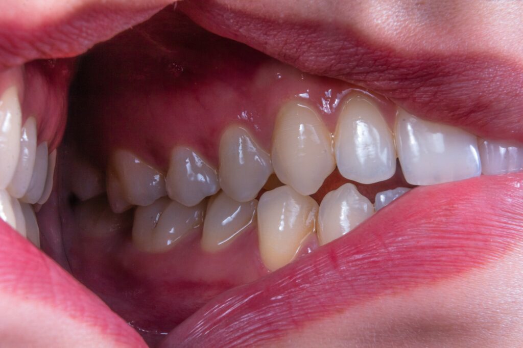
Gum Disease Stages: From Gingivitis to Periodontitis

Gum disease often starts quietly as gingivitis and can progress to serious periodontitis if left untreated. Learn how to spot the early signs, what treatments really work, and how simple daily habits can protect your smile. At Dental Quest Lowell, we’re here to help you keep your gums healthy and your smile strong for life.